聚图网

视觉艺术探索平台

首页 最新 热门 排行

分类浏览

自然风光 动漫卡通 美食摄影 科技数码 人物写真 创意设计 壁纸背景 游戏原画

© 2026 聚图网

探索无限视觉可能

  1. 首页
  2. 脾脏淋巴瘤
  3. 图片详情
加载中...
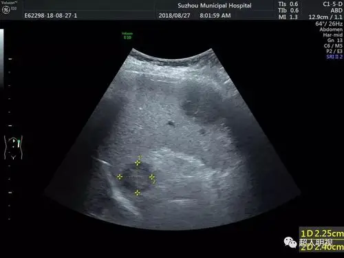
【前沿进展】中国医科大学盛京医院:海绵状脾淋巴管瘤一例 [病例帖]

【前沿进展】中国医科大学盛京医院:海绵状脾淋巴管瘤一例 [病例帖]

图片尺寸 640x424
上传时间 2026-03-29 16:01:28
关键词 脾脏淋巴瘤
查看原图 下载图片

图片链接

原图
外链

相关图片

77淋巴瘤是脾脏中最常见的原发性恶性肿瘤,因为它是淋巴系统的一

77淋巴瘤是脾脏中最常见的原发性恶性肿瘤,因为它是淋巴系统的一

8,961 362
31                 脾恶性淋巴瘤 mri t2肿块

31 脾恶性淋巴瘤 mri t2肿块

4,841 615
脾脏丨弥漫性大b细胞淋巴瘤两例

脾脏丨弥漫性大b细胞淋巴瘤两例

9,083 313
脾边缘区淋巴瘤

脾边缘区淋巴瘤

6,423 586
脾脏疾病的诊断与鉴别诊断

脾脏疾病的诊断与鉴别诊断

4,280 843
脾脏丨弥漫性大b细胞淋巴瘤两例

脾脏丨弥漫性大b细胞淋巴瘤两例

4,033 506
这就是脾边缘区淋巴瘤切下来得巨脾

这就是脾边缘区淋巴瘤切下来得巨脾

8,933 830
脾脏丨弥漫性大b细胞淋巴瘤两例

脾脏丨弥漫性大b细胞淋巴瘤两例

9,621 172

随机推荐

家里地上最近出现这种毛毛虫 客厅比较多 卧室也有 请问这是什么虫子

家里地上最近出现这种毛毛虫 客厅比较多 卧室也有 请问这是什么虫子

4,253 459
腐剧盘点尺度颜值演技国产也很ok40部看完我羞耻了

腐剧盘点尺度颜值演技国产也很ok40部看完我羞耻了

3,961 811
这是任嘉伦8岁时候的照片,当然此时的任嘉伦是比较清秀的,并且眼

这是任嘉伦8岁时候的照片,当然此时的任嘉伦是比较清秀的,并且眼

4,291 446
香飘飘奶茶香芋味80g3杯

香飘飘奶茶香芋味80g3杯

1,680 639
> 精选好看的小清新唯美意境lomo风格图片桌面壁纸高清(1)(1920x1080)

> 精选好看的小清新唯美意境lomo风格图片桌面壁纸高清(1)(1920x1080)

5,237 439
sfk广州 | 剪刀才是真正的画笔,肌理与拼贴创意workshop

sfk广州 | 剪刀才是真正的画笔,肌理与拼贴创意workshop

1,435 521
狼的插图,狼的黑白矢量图解

狼的插图,狼的黑白矢量图解

6,839 528
巨下饭的肉末蒸蛋营养好吃老少皆宜

巨下饭的肉末蒸蛋营养好吃老少皆宜

6,801 517

聚图网

视觉艺术探索平台

探索无限创意,发现精彩世界。我们致力于为您提供最优质的图片资源和视觉体验,激发您的创意灵感。

快速导航

  • 首页
  • 最新图片
  • 热门图片
  • 排行榜
  • 全部分类

关于我们

  • 平台简介
  • 联系我们
  • 隐私政策
  • 使用条款
  • 版权声明

订阅更新

订阅我们的新闻通讯,获取最新图片推荐和创意灵感

我们尊重您的隐私,不会向第三方分享您的信息

© 2026 聚图网. 保留所有权利。

隐私政策 使用条款 联系我们